Η νευροογκολογία ασχολείται με τη διάγνωση και θεραπεία ασθενών με εγκεφαλικούς όγκους. Οι εγκεφαλικοί ογκοι χωρίζονται σε: πρωτοπαθείς και δευτεροπαθείς.

Γλοιωβλάστωμα αριστερού κροταφικού λοβού

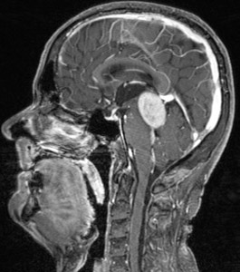
Μηνιγγίωμα οπισθίου βόθρου με πίεση επί του στελέχους
Πρωτοπαθείς όγκοι
Οι πρωτοπαθείς όγκοι προσδιορίζονται από τον τύπο του κυττάρου που προέρχονται ή απο την ανατομική θέση που εμφανίζονται. Τα γλοιώματα αποτελούν τους πιο συχνούς πρωτοπαθείς όγκους.
Στα γλοιώματα συμπεριλαμβάνονται τα αστροκυττώματα, το γλοιωβλάστωμα, το ολιγοδενδρογλοίωμα και το επενδύμωμα.
Άλλοι πιο σπάνιοι πρωτοπαθείς όγκοι του εγκεφάλου ειναι το μηνιγγίωμα, οι όγκοι υποφύσεως, τα νευρινώματα και οι όγκοι της επιφύσεως.
Ο τρόπος αντιμετώπισης των πρωτοπαθών όγκων εξαρτάται από τον ιστολογικό τύπο της παθολογίας, την ηλικία καθώς και την προεγχειρητική νευρολογική κατάσταση του ασθενούς.
Όσο αφορά τα γλοιώματα 3ου και 4ου βαθμού η ενδεδειγμένη θεραπεία ειναι η μικροχειρουργική εξαίρεση σε συνδυασμό με χημειοθεραπεία ή/και ακτινοθεραπεία.
Η απόφαση για το αν ένα γλοίωμα 1ου ή και 2ου βαθμού πρέπει να εξαιρεθεί χειρουργικά λαμβάνεται σε συνάρτηση με τη θέση του όγκου, την κλινική συμπτωματολογία και πάντα μετά από συνεννόηση με συναδέλφους άλλων ειδικοτήτων (νευροογκολόγους, ακτινοθεραπευτές) που μπορούν να προσφέρουν κάποια άλλη λύση στον ασθενή.
Οι υπόλοιποι πρωτοπαθείς όγκοι (μηνιγγιώματα, νευρινώματα ως επί το πλείστον) αφαιρούνται μικροχειρουργικά εάν ο όγκος βρίσκεται ανατομικά σε χειρουργικά προσπελάσιμο σημείο. Σε περίπτωση υπολειμματικού όγκου εφαρμόζεται η ακτινοχειρουργική με γ-knife ή Cyber-knife.
Δευτεροπαθείς όγκοι
Οι δευτεροπαθείς όγκοι είναι ως επί το πλείστον μεταστάσεις κάποιας κακοήθειας σε άλλο όργανο. Οι εγκεφαλικές μεταστάσεις αντιμετωπίζονται ανάλογα με τον αριθμό των εστιών, την ηλικία, την ποιότητα ζωής του ασθενούς και την πρόγνωση του πρωτοπαθούς καρκίνου. Η μικροχειρουργική εξαίρεση έχει ένδειξη σε ασθενείς με προσβάσιμες εστίες που είναι σε καλή κλινική κατάσταση. Στις περιπτώσεις που η χειρουργική εξαίρεση δεν αναμένεται να βελτιώσει το επίπεδο ζωής του ασθενούς η θεραπεία περιορίζεται σε ακτινοθεραπεία, χημειοθεραπεία ή/και ορμονική θεραπεία.

Μετάσταση από μικροκυτταρικό καρκίνο του πνεύμονα με εκτεταμένο περιεστιακό οίδημα

Γλοίωμα μετοπιαίου λοβού με μετατόπιση μέσης γραμμής
Βασίλειος Ι Βουγιούκας
Καθηγητής Νευροχειρουργικής Παν/μίου FREIBURG/Γερμανίας




